CORPI ESTRANEI INGERITI DAL CANE O DAL GATTO: OPS…. È SPARITO UN CALZINO
- martad9
- 8 lug 2021
- Tempo di lettura: 3 min
Volevo affrontare con voi questo piccolo (per così dire) problema!

Questo perché mi è capitato di recente di avere qui in ambulatorio una splendida cagnolona di nome Luna. Era in ambulatorio per tutt’altra cosa. E’ stata sterilizzata. Però durante il risveglio post chirurgico ha iniziato ad avere problemi gastrici con nausea e vomito. Certo è una situazione che può succedere dopo un’anestesia generale, nonostante il digiuno, e quindi non mi sono allarmata.

Però ad un certo punto ha espulso tre schegge di legno e un pezzo di plastica duro, smangiucchiato, ma comunque con i margini frastagliati e che quindi potrebbe lesionare stomaco ed intestino.
Mi rendo conto che è difficile controllare sempre cosa fanno e cosa mettono in bocca i cani, però dovete prestarci la massima attenzione!
Vi potrei illudere dicendo che è solo una fase della crescita e che smetteranno di farlo……… ma non sempre è così. Sicuramente quando sono cuccioli capita più spesso, perché fa parte del loro modo di giocare e di conoscere il mondo, ma non sempre smettono di farlo e dovrete essere voi ad avere mille occhi.
Perché è sicuramente più facile intervenire in maniera adeguata e tempestivamente se mi sapete dire se ed eventualmente cosa si è ingoiato il vostro cane/gatto.
I corpi estranei possono essere i più svariati.

Io non mi occupo di pronto soccorso, però calzini mancanti, giocattoli distrutti e poi ingurgitati, ossa, involucri, immondizia varia sia di casa che raccattata fuori, magari sotto un cespuglio, sono capitati anche nel mio ambulatorio.
Diventa difficile capire se il malessere gastrointestinale del vostro animale è dovuto ad un corpo estraneo o ad altro problema se voi non mi aiutate con le giuste indicazioni.
Questo perché la sintomatologia è sovrapponibile a molte patologie (vomito, anoressia, abbattimento, malessere generale) e spesso non si manifesta immediatamente, ma può passare anche parecchio tempo.
Quindi è importante, per poter intervenire tempestivamente, sapere se il vostro amico a quattro zampe ha l’abitudine di mangiare oggetti non commestibili.

Per i gatti, che non vogliono essere da meno, ricordiamoci tutti i vari fili possibili ed immaginabili, compreso il sempre affascinante laccetto per chiudere il sacco dell’immondizia, che è proprio lì che penzola e che quindi stimola il gioco e l’istinto di cacciatore che è in loro.
Inoltre i gatti possono avere anche il problema dell’accumulo di pelo gastro-intestinale. Quando il gatto si toeletta ingurgita molto pelo.
Nella maggior parte dei casi passa tranquillamente attraverso lo stomaco e l’intestino, ma può succedere che si blocchi e si accumuli, formando dei tricobezoari, che, a volte, si possono rimuovere solo chirurgicamente.
Quindi spazzolate il vostro gatto, spesso, se lo prendono come abitudine, lo apprezzano molto e valutiamo insieme se utilizzare le varie paste appetibili che ci sono in commercio per aiutare a far transitare meglio i boli di pelo attraverso l’intestino, soprattutto nei momenti di massima muta.
LA DIAGNOSI E LA RIMOZIONE E IL POST CHIRURGIA
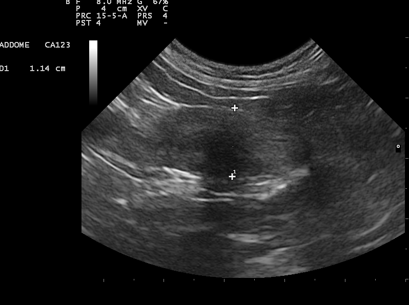
La diagnosi di solito si effettua attraverso un’ecografia addominale, così da riuscire ad evidenziare sia i corpi estranei radio opachi che quelli radio trasparenti (che non si vedrebbero con una radiografia). E poi?

L’ecografia ci permette anche di valutare dimensioni e forme dei corpi estranei, perché se sono nello stomaco è possibile rimuoverli con una gastroscopia, ma per essere eliminati con questa tecnica devono avere dimensioni e consistenza tali da poter essere afferrati con la pinza e trascinati a ritroso attraverso l’esofago e non devono essere appuntiti altrimenti si rischia di lesionare l’esofago estraendoli.
Se non si può utilizzare questa tecnica, oppure se i corpi estranei sono già nell’intestino si passa alla chirurgia. E in questo caso prima si interviene meglio è, perché più tempo persiste il blocco intestinale più è facile che la parete stessa dell’intestino dove è localizzato il blocco subisca delle lesioni e che quindi sia da asportare insieme al corpo estraneo.

Il post chirurgia nel caso di una gastroscopia è facilmente affrontabile, se non ci sono state particolari problematiche ad estrarre il corpo estraneo non ci dovrebbero essere problemi nella ripresa dell’animale. Discorso diverso è se si è dovuto affrontare una chirurgia con enterotomia o enterectomia, perché i problemi post chirurgici possono essere svariati e la possibilità di deiescenza delle suture e di peritonite è sempre in agguato. Inoltre per i gatti che, adorano ingoiarsi i fili, possono arricciarsi su sé stessi e di conseguenza far arricciare e lesionare molto l’intestino, facendo allungare molto i tempi di recupero post chirurgici e moltiplicando i fattori che possono portare a complicazioni.




Commenti